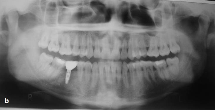
OPG after crown cementation
OPG after crown cementation
author: Andreas Tjandra | publisher: drg. Andreas Tjandra, Sp. Perio, FISID
OPG after crown cementation
Referred as from: https://palmerah.implantgigi.com/insight/hi-tec-implant-restoration-in-the-mandibular-first-molar-region-5
Serial posts:
-
A Comprehensive Analysis of Adult Tooth Removal Reasons (13)
-
Alasan Mencabut Gigi Dewasa (13)
-
OPG after crown cementation
-
Evaluation of implant mobility using PERIOTEST
-
IOPA at the end of study period after 72 months
-
Subject comparison to implant dimension
-
Making space for missing middle incisor (14)
-
Making space for missing middle incisor (15)
-
Do orthopedic treatments for growing retrognathic hyperdivergent patients lead to stable outcomes? (13)
Referred as from: https://palmerah.implantgigi.com/insight/hi-tec-implant-restoration-in-the-mandibular-first-molar-region-5
- A Comprehensive Analysis of Adult Tooth Removal Reasons (13)
- Alasan Mencabut Gigi Dewasa (13)
- OPG after crown cementation
- Evaluation of implant mobility using PERIOTEST
- IOPA at the end of study period after 72 months
- Subject comparison to implant dimension
- Making space for missing middle incisor (14)
- Making space for missing middle incisor (15)
- Do orthopedic treatments for growing retrognathic hyperdivergent patients lead to stable outcomes? (13)