Open hour: senin - sabtu 09:00:00 - 20:00:00; minggu & tanggal merah tutup
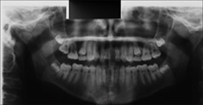
Figure 2: Orthopantograph confirms the presence of all permanent teeth except the upper left central

Making space for missing middle incisor (12)

author: Andreas Tjandra | publisher: drg. Andreas Tjandra, Sp. Perio, FISID
undefined
Figure 2:
Orthopantograph confirms the presence of all permanent teeth except the upper left central

Serial posts:


id post:
New thoughts
Me:
search
glossary
en in