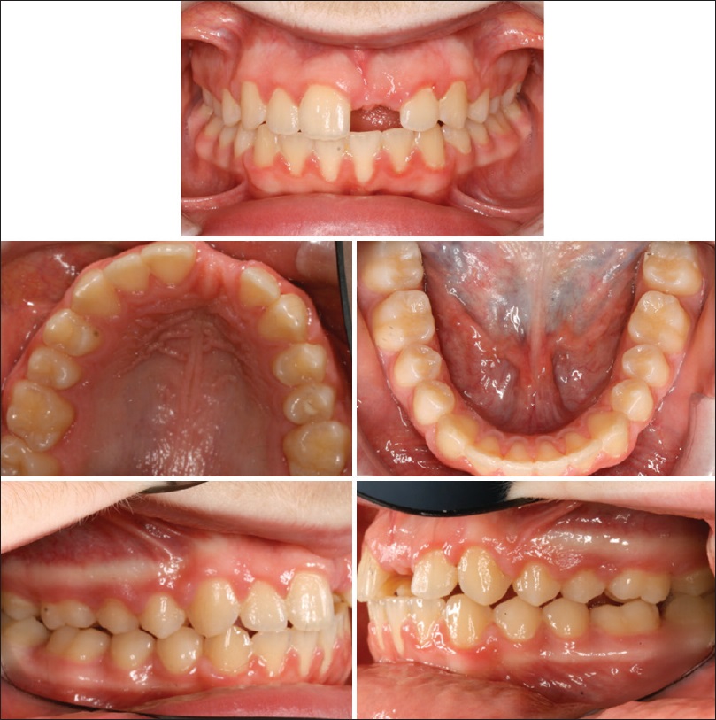
Figure 7: End of treatment photos showing full incisor space, optimum overjet, and overbite
Making space for missing middle incisor (17)
author: Andreas Tjandra | publisher: drg. Andreas Tjandra, Sp. Perio, FISID
Figure 7: End of treatment photos showing full incisor space, optimum overjet, and overbite
Referred to from: https://palmerah.implantgigi.com/insight/making-space-for-missing-middle-incisor-6
Serial posts:
-
A Comprehensive Analysis of Adult Tooth Removal Reasons (14)
-
Alasan Mencabut Gigi Dewasa (14)
-
Comparison of probing depth
-
Making space for missing middle incisor (16)
-
Making space for missing middle incisor (17)
-
Making space for missing middle incisor (18)
-
Making space for missing middle incisor (19)
-
Making space for missing middle incisor (20)
-
Making space for missing middle incisor (21)
-
Making space for missing middle incisor (22)
-
Making space for missing middle incisor (23)
-
Do orthopedic treatments for growing retrognathic hyperdivergent patients lead to stable outcomes? (14)
Referred to from: https://palmerah.implantgigi.com/insight/making-space-for-missing-middle-incisor-6
- A Comprehensive Analysis of Adult Tooth Removal Reasons (14)
- Alasan Mencabut Gigi Dewasa (14)
- Comparison of probing depth
- Making space for missing middle incisor (16)
- Making space for missing middle incisor (17)
- Making space for missing middle incisor (18)
- Making space for missing middle incisor (19)
- Making space for missing middle incisor (20)
- Making space for missing middle incisor (21)
- Making space for missing middle incisor (22)
- Making space for missing middle incisor (23)
- Do orthopedic treatments for growing retrognathic hyperdivergent patients lead to stable outcomes? (14)