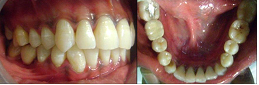
Implants supported prosthesis in occlusion
Implants supported prosthesis in occlusion
author: Andreas Tjandra | publisher: drg. Andreas Tjandra, Sp. Perio, FISID
Implants supported prosthesis in occlusion
Referred as from: https://palmerah.implantgigi.com/insight/hi-tec-implant-restoration-in-the-mandibular-first-molar-region-5
Serial posts:
-
A Comprehensive Analysis of Adult Tooth Removal Reasons (12)
-
Alasan Mencabut Gigi Dewasa (12)
-
IOPA Immediately after Crown cementation
-
Implants supported prosthesis in occlusion
-
Making space for missing middle incisor (13)
-
Do orthopedic treatments for growing retrognathic hyperdivergent patients lead to stable outcomes? (12)
Referred as from: https://palmerah.implantgigi.com/insight/hi-tec-implant-restoration-in-the-mandibular-first-molar-region-5
- A Comprehensive Analysis of Adult Tooth Removal Reasons (12)
- Alasan Mencabut Gigi Dewasa (12)
- IOPA Immediately after Crown cementation
- Implants supported prosthesis in occlusion
- Making space for missing middle incisor (13)
- Do orthopedic treatments for growing retrognathic hyperdivergent patients lead to stable outcomes? (12)